-
UID: 1627269 
-
- 注册时间2012-09-03
- 最后登录2025-12-19
- 在线时间36816小时
-
- 发帖296912
- 搜Ta的帖子
- 精华2
- 金币34902
- 道行40006
- 原创109
- 奖券147
- 斑龄0
- 道券30
- 获奖0
-
访问TA的空间加好友用道具
UID: 1627269 
- 发帖
- 296912
- 金币
- 34902
- 道行
- 40006
- 原创
- 109
- 奖券
- 147
- 斑龄
- 0
- 道券
- 30
- 获奖
- 0
- 座驾
-
- 设备
-
- 摄影级
-
在线时间: 36816(小时)
注册时间: 2012-09-03
最后登录: 2025-12-19
|
—
本帖被 妞妞乐乐 执行加亮操作(2021-05-12)
—
之所以写这篇文章,是因为小编的母亲就是肺癌病逝的,当时的诊断是中心性鳞癌。由于病灶在心脏附近,并且发现的时候已经扩散到了脊柱,没有办法化疗,最后家里一致通过还是保守治疗。因为晚期化疗,生活的质量根本保证不了,小编在医院亲眼看见化疗的痛苦,到最后人已经失去了意识,连自己儿子都不认识了,说到这就有些辛酸。

逐年增高!
因为亲身经历的失去母亲的痛苦,不愿再看到这种悲剧发生在别人的家庭中。现在肺癌的发病率全球逐年增高,因为隐蔽性很深,而且女性居多,等到发现时2/3基本都是晚期,可能跟空气不好有原因吧!而且引起肺癌的原因至今没有结果,这一点非常令人头疼。当时母亲确诊时都不相信,因为母亲的家族里没有肺病过世的,家里没人抽烟、喝酒,这样的横祸居然发生在了我家。我也问过大夫,大夫说没有原因。我也只能没有条件的接受这一切!
母亲发病的症状我都了解,不能说非常全面,但大部分的症状还是了解得。下面让小编带你撸一遍这个可怕疾病的早期征吧!
咳嗽
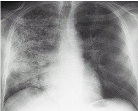
这是最明显的现象,因为很多人都把它当做感冒治了,很容易忽略。小编提醒你,如果服用止咳药一周还是没有效果,您还是去医院做个CT,因为药不对症,肯定不是感冒。还有一种可能,就是患上了肺结核,不过相比较肺癌,它不是大病。之所以建议做CT,不仅是因为他的清晰度高,另个原因是它是分层切割照相的,每一层有变化都是能看出来的。

CT片
千万不要做胸片,因为小编的母亲当时就是做的胸片,当时看时说没事,病情才被耽误的。胸片有个弊端,就是有一叶障目的效果,看不到内部有异常。所以作为子女的而我们,不要怕多花那几百块,毕竟生命只有一次,而且40到50是高发期,需要注意。小编现在还在自责,如果当初我别着母亲去做CT,也不会有这样悔恨。

胸片
咳血、喉喽痛
这个就不必多说了,只要是痰中带血,肺子就一定是有问题的。它有可能是肺结核,现在肺结核已经不算病了,可以完全治愈。但是肺癌就不一样了,它是不可逆的。还有就是喉喽痛,也要注意。所以出现了这几种症状,一定马上去医院检查,别耽误了病情。

咳血
乏力
这也是比较明显的症状,但也是最容易被忽略的症状。记得当初去医院检查时,对床有好几个病友都是因为乏力去医院检查的,最后确诊是肺癌。出现这个症状,最有可能是肺结核和肺癌,所以无论是家长还是子女,一定要注意!
低烧不退
出现了这种状况,如果一周低烧不退。建议最好去医院检查一下血常规,因为有几种病都是先从低烧开始的。比如肺结核,肺癌,还有可怕的白血病。所以体温不正常,也是需要注意的一点。因为很多人都以为是感冒发烧,认为小题大作,其实不然哦!

高烧
胸闷、胸痛
有胸闷的感觉,有时肺子不单单会只出现有病灶的部位,还有可能胸膜里面会有积水。这就需要把肺部的水抽走,然后在进行活体检验。这就比较痛苦了,胸痛则是病灶可能已经粘连胸膜了。不过肺结核也有这两种现象,但还是及早确诊为好。毕竟谁也不是仪器,看一眼就知道患了什么病症!
脸和脖子浮肿
自己的脸浮肿,这个症状是最容易别忽略的。很多人以为是化妆品过敏或是食物过敏,很少人会关心。认为两者根本就是 风马牛不相及,但是两者确实存在关联。要是出现这种情况,还是马上去医院排查。

肺癌的摧残
颈椎、后背、肩膀痛
这也是一个让人忽略的症状,通常人们都以为自己的职业病犯了。但是肺癌的痛和普通的颈椎痛还是不一样的,如果出现了这一个症状,很不幸的告诉你,基本确诊为已经是晚期,因为它已经转移了。之前看过一篇报道,一个老师的颈椎疼了一个月,最后医院给出的结果是肺癌晚期。这个小编也是深有体会,母亲但是无力加咳嗽,但是做了胸片,没查出来。后来后背痛的厉害,去大医院才查出来的肺癌。
指甲
这是一个很多人做梦都想不到的关联,但指甲的变化确实和肺癌有关。因为陪母亲检查时,对床的阿姨就是指甲有点灰,尖端有点折回。起初以为是灰指甲,吃了好多的药,最后一个中医说去医院检查一下肺子吧!很不幸就查出了肺癌!太可怕了!

肺癌晚期
不明肿块
肿块是最明显的癌症信号,因为不同类型的癌症应景影响你的淋巴系统。于是身体的某个部位就形成了一个肿块。真实发生在小编身边的事,亲戚家的外甥腿部有个小包。经过活检之后,查出竟是肺癌。由于发现的早,经过化疗已经痊愈。但是听说每天都要吃药,那外甥说都不想活了,每天把药当饭吃,而且还要定期去检查。
真的有肿块,也不要过度惊慌。去检查一下,因为有良性和恶性之分,有必要,就进行手术切除。
这里就是小编所看到的、听到的、知道的都分享给大家,身为子女的我们,要多给家人的健康一份关怀。不仅仅是父母给了我们生命,更是因为生命只有一次, 谁都希望子女的欢声笑语陪完我们人生最后的旅程,而不想让你的疏忽大意提前终止了还没有结局的天伦之乐!
|